矯正相談掲示板
よくあるご質問
費用・料金表

受け口・反対咬合

東川口矯正歯科

受け口・反対咬合について

「反対咬合(はんたいこうごう)」とは、かみ合わせた時に下の前歯が上の前歯よりも前に出て、本来のかみ合わせとは反対の状態で、一般的に”受け口”と呼ばれる歯並びをいいます。
受け口・反対咬合について

受け口・反対咬合による影響

1.見た目がコンプレックスに

顔貌や横顔に影響が出てしまうため、見た目に自信を持てず、コンプレックスやお悩みになることがあります。
見た目がコンプレックスに

2.胃腸や顎関節への負担

かみ合わせが悪いことで咀嚼効率が悪くなり、食べ物をよく噛めないまま飲み込んでしまうことで、消化不良を引き起こすことがあります。また、顎の関節に負担がかかりやすく、顎関節症になる可能性が高いかみ合わせです。
胃腸や顎関節への負担

3.発音障害

受け口や反対咬合の場合、前歯のかみ合わせが本来とは反対になるため、“さ行”や“た行”が舌足らずな発音になり、発音に影響を及ぼします。
発音障害

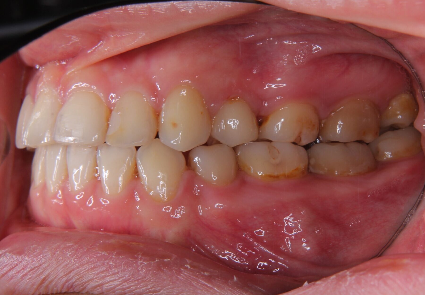
治療例

先天的な原因

主訴 下顎前歯部の凸凹が気になる
診断名 下顎骨の軽度過成長を伴う上下前歯部叢生症例
年齢 26歳
治療に用いた装置 マルチブラケット装置
抜歯部位 上顎左右5番、下顎左右4番
治療期間 3年(30回)
治療費用 880,000円
リスク・副作用

  • マルチブラケット装置装着によるカリエスリスクの上昇

受け口・反対咬合になる原因

骨格の問題

上あごの劣成長や下あごの過成長など、骨格の問題によって反対咬合になる場合があります。

骨格や歯の問題

歯やかみ合わせの問題

下の奥歯が前にズレて受け口になっていたり、上の前歯が内側に傾斜していたり、下の前歯が前に傾斜しているなど、歯のかみ合わせや傾斜角度も原因になります。

歯やかみ合わせの問題

舌の癖や舌小帯の問題

日常的に舌が上あごについているのが理想ですが、舌の位置がさがって、舌の歯を押してしまうような舌の癖がある場合や舌の裏のヒダ(舌小帯)が短い場合、舌の位置の問題によって受け口になりやすくなります。

舌の癖や舌小帯の問題

治療方法

かみ合わせを改善する顎間ゴム

下の奥歯のかみ合わせが前方にズレていることで受け口になっている場合、かみ合わせを改善するために、上下の矯正装置に「顎間ゴム」というゴムをつけていただくことで治療をおこないます。

上あごの歯並びを広げる

固定式のワイヤー矯正や取り外しができるプレートタイプの装置で、上顎の歯並び全体の幅を広げたり、歯の傾斜角度をコントロールして、反対咬合を改善します。

歯を削るIPRや抜歯

軽度の受け口の場合には、歯を削るIPRという処置をおこなうことで受け口を改善します。IPRでは受け口の改善が見込めない場合には、小臼歯(前から4番目、5番目の歯)の抜歯をおこないます。

外科手術を併用した外科矯正

骨格(下あご)が基準値から大きくズレている場合、矯正治療だけでは改善することが難しくなります。そのような場合には、外科手術を併用した歯列矯正をすることで、骨格性の問題を改善します。

受け口・反対咬合にお悩みの方へ

歯列矯正をおこなうことで「下あごが前に出ているのが気になる」「しゃくれている横顔を治したい」など、見た目のお悩みを改善するだけでなく、発音がしやすくなったり、しっかり噛めるようになるなど、機能的な改善も期待できます。

矯正後の歯並びを安定させるために

受け口や反対咬合の方のほとんどに「舌の癖」が見受けられます。歯列矯正で綺麗になった歯並びを安定させるためには、舌の癖を改善することも必要です。

舌の癖の改善トレーニングをおこなうことで、矯正後の後戻りを予防し、安定性を高めることができるため、当院では患者様にあわせてご提案いたします。
矯正後の歯並びを安定させるために