矯正相談掲示板
よくあるご質問
費用・料金表

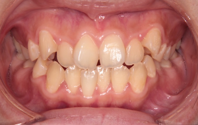
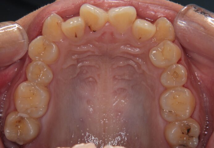
ガタガタ・八重歯

東川口矯正歯科

叢生(ガタガタ)について

「叢生(そうせい)」とは、歯と歯が重なりあっていたり、歯がねじれたり、ガタガタの歯並びになっている状態をいいます。見た目の問題だけでなく、さまざまな悪影響を及ぼす歯並びのため、歯列矯正の対象となります。

叢生(ガタガタ)について​

ガタガタの歯並びによる影響

1.虫歯や歯周病になりやすい

歯が重なる部分(特に歯と歯の間)や歯がねじれている部分は、歯磨きが難しいためどうしても磨き残しに。繰り返し、長期間にわたって磨き残しになると、虫歯や歯周病へと繋がります。

虫歯や歯周病になりやすい

2.見た目がコンプレックスに

歯が重なりあっていることが気になる、ガタガタな歯が見えるので口を開けて笑いたくない、笑顔を見せることに抵抗があるなど、見た目に自信が持てずにコンプレックスになることがあります。

見た目がコンプレックスに

3.かみ合わせ・消化への影響

叢生の場合、上と下の歯がガタガタで正しくかみ合わないことも。その場合、食べ物をよく噛まずに飲み込むことで、消化器官に負担がかかり、消化不良を起こすこともあります。

かみ合わせ・消化への影響

ガタガタの歯並びになる原因

ガタガタな歯並びになってしまう原因には、「先天的」な原因と「後天的」な原因の2つに大きく分けられます。
すきっ歯が気になる方へ

先天的な原因

■骨格の問題

歯並びのアーチが狭いと、永久歯が並ぶスペースが足りずに歯と歯が重なりあって生えてくることになります。

■歯の問題

歯のサイズが大きいと、歯が並ぶスペースが足りなくなり、歯が重なりあって生えてきます。他にも、乳歯が虫歯になり、早期に失ってしてしまうことが歯並びを乱す原因となります。

後天的な原因

■悪習癖

頬杖やうつ伏せ寝、指吸いなど、日常の癖が歯並びのアーチを狭くしてしまい、叢生の原因につながります。

■舌の癖

舌の癖やお口の周囲の筋肉や機能が備わっていないことによって、歯ならびが影響を受けて叢生に繋がることがあります。

叢生の治療方法

歯並びのアーチを広げる

固定式のマルチブラケット装置やワイヤーの力を用いて、歯並びのアーチ全体の幅を広げて、歯を並べるスペースをつくります。

歯と歯の間を削るIPR

歯の大きさが基準値よりも大きい場合には、歯の表面を削って整える「IPR」という処置をおこなうことで歯が並ぶスペースをつくります。歯を削る量は、わずか0.1mm~0.3mm程で痛みを感じたり、虫歯になるような心配もありません。軽度の叢生であれば、抜歯せずにIPRで治せる場合もあります。

歯を抜く

当院では、可能がかぎり歯を抜かずに治療できるよう努めておりますが、精密検査を行い、診断の結果によっては、歯が並ぶスペースをつくるために抜歯をご提案することがあります。

叢生の治療例

症例情報

主訴 八重歯を治したい
診断名 上下顎前歯部の叢生症例
年齢 26歳
治療に用いた装置 マルチブラケット装置
抜歯部位 上顎左右4番、下顎左右4番
治療期間 23回・2年半
治療費用 880,000円
リスク・副作用
  • ブラケット装着によるカリエスリスクの上昇

八重歯について

八重歯とは、犬歯が歯並びから飛び出して他の歯と重なっている「叢生」の一種です。見た目の問題だけでなく、犬歯はかみ合わせにおいて重要な役割を果たすため、歯列矯正をおこなう必要があります。

八重歯について​

八重歯による影響

八重歯による影響

叢生と同様の影響が出ることが考えられます。犬歯は先が尖った形をしているため、他の歯よりも粘膜に引っかかりやすくなり、傷ついたり口内炎ができやすくなります。

八重歯とかみ合わせの関係性

犬歯は、かみ合わせの要となる重要な役割を果たしています。犬歯が正しい位置でかみ合うことで、奥歯にかかる負担を軽減することができるのです。

理想的なかみ合わせの場合、下あごを左右に動かすと犬歯だけが当たって、奥歯がかみ合わない状態になります。このようなかみ合わせは奥歯にかかる力から歯を守り、歯槽骨(歯を支える骨)の吸収や顎関節症を予防することにつながります。

八重歯になる原因

■生え変わりが遅い

犬歯は、永久歯へ生え変わる時期が遅いので、他の永久歯が犬歯の生えるスペースを埋めてしまった場合、正しい位置に生えることができません。

■歯や骨格の問題

歯並びのアーチが狭かったり、永久歯が大きいと、歯が並ぶスペースが不足して歯が重なりあって生えてくることになります。また、乳歯が虫歯になり、早期に喪失してしまうことも歯並びを乱す原因となります。

■ 悪習癖や舌の癖

頬杖やうつ伏せ寝、指吸いなど、日常の癖が歯並びのアーチを狭くすることにつながります。また、舌の癖やお口の周囲の筋肉や機能が備わっていないことで歯並びが影響を受けることがあります。

八重歯の治療方法

基本的には、叢生と同様の治療方法をおこないます。犬歯を正しい位置に並べるために、抜歯をご提案することもございますが、犬歯はかみ合わせにおいて重要な歯のため、抜歯することはございません。抜歯をする際には、小臼歯(前から4番目もしくは5番目)の歯を抜くケースがほとんどです。

八重歯の治療例

症例情報

主訴 八重歯を凸凹した歯並びが気になる
診断名 上下顎前歯の重度叢生症例
年齢 13歳
治療に用いた装置 マルチブラケット装置
抜歯部位 上顎左右4番、下顎左右4番
治療期間 35回・3年半
治療費用 880,000円
リスク・副作用
  • ブラケット装着によるカリエスリスクの上昇

ガタガタ・八重歯にお悩みの方へ

コンプレックスが自信に

ガタガタの歯並びや八重歯は、見た目の問題から多くの方が悩まれる歯並びです。矯正治療でキレイな歯並びを得ることで、人前で歯を見せてニッコリ笑うことに抵抗があった方も、自信を持って笑顔を見せることができ、コンプレックスが改善され自信をもつことにもつながります。

コンプレックスが自信に

見た目の改善だけでないメリット

見た目の改善だけでなく、歯並びが整って歯磨きがしやすくなることで、磨き残しが減り、虫歯や歯周病から歯を守ることにもつながります。

また、理想的なかみ合わせを得ることは正しく噛めるだけでなく、顎関節症の予防にもつながることも。歯列矯正は見た目の問題や機能性など、さまざまな問題を改善することができます。ガタガタの歯並びや八重歯でお困りの方は、一度ご相談ください。

見た目の改善だけでないメリット